显微镜就是科研者的另一双眼睛,可以看到很多人类目光所不能及的地方,发现生物界许多不为人知且惊艳十足的图片。下面十张令人叹为观止的动图为我们开启了一段奇妙的视觉之旅!
胚胎发育及细胞分裂增殖
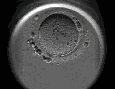
1.人类生命的起源

图片显示的是人类胚胎最早的发育阶段,卵子受精后出现两个细胞核——雄原核和雌原核,原核融合后可快速的激发了受精卵的分裂,随后可形成囊胚,进而开启最早的组织分化。4细胞时期,每个细胞均含有发育一个完整个体的潜能。
2.细胞的红绿灯

细胞从一次分裂到下一次分裂的细胞周期中,会阶段性表达不同种类的蛋白质。即通过基因工程使得体外分裂的Hela细胞在不同的分裂阶段表达带有不同荧光的蛋白,进而指示出细胞处于细胞周期的哪个阶段。
3.本是同根生,分裂何太急?

上皮细胞通过有丝分裂可将每条染色体精确复制成两条染色单体并均等分到两个子细胞中,使子细胞含有同母细胞相同的遗传信息。同样,减数分裂也需要纺锤丝和微管的参与,只不过在此过程中,DNA只复制一次而分裂却发生了两次,从而形成遗传物质减半的配子细胞。

4.酵母出芽
酵母细胞特有的生殖现象,即在分裂时进行了细胞质不等的分裂,形成了一大一小两个相连的细胞。小的是“芽”,芽会连接在母体上一段时间并进行物质交换,待长大后,芽便从母体上脱落形成一个新的独立细胞。
粒细胞的生与死
5.免疫细胞的攻防战
免疫细胞一旦察觉“敌人”入侵人体体内,便积极展开机体里的攻防战,还机体内一个安全稳定的环境。它既能抵抗、消灭入侵人体的病菌,又能清除自身衰残、癌变的细胞。
6.团队攻击
机体内的“健康保卫队”白细胞——嗜酸性粒细胞在趋化作用的驱动下聚集到秀丽隐杆线虫(C.elegans)周围并对其进行攻击的过程。尽管人体的白细胞确实会攻击寄生虫,然而鉴于该图片在体外拍摄,且线虫一般不感染人类,这个图片只能算是线虫无辜“躺枪”。
7.红细胞的“自爆”
尽管水是生命之源,但是纯水却是细胞的“杀手”。当红细胞不幸被水分子拥抱后,大量的水分子涌进细胞内,使得细胞逐渐膨胀失去原有的形态成为球形,一旦薄薄的细胞膜承受不住这种膨胀,细胞就会被活活“撑死”了。
心肌细胞及神经细胞
8.跳动的心脏细胞

体外培养的心肌细胞经常会出现自发搏动现象,且同一个培养皿中的心肌细胞的搏动往往还是同步的,因而把心肌细胞作为中胚层分化的指示细胞,来衡量多能干细胞分化为中胚层的潜力。
9.神经细胞与钙离子的精彩邂逅

钙离子一直都是神经细胞最重要的“信号离子”,因而科研者通过显微注射技术将钙离子探针放进神经细胞中,使得探针和钙离子相互作用而产生荧光,可发现钙信号在神经细胞中会像水波一样迅速向外扩散。
10.大脑切片

这张动图是根据真实切片标本制成的,展示了人类脑部组织的横截面,原标本共包含了700个切片,每个切片的厚度为174um。纤薄的组织切片可帮助人们更好的了解精细的解剖结构。
